உயரத்தை கூட்டும் புதிய சிகிச்சை முறை - எச்சரிக்கும் மருத்துவர்கள்!

வியாழன், 1 ஜூலை 2021 (10:28 IST)
உடல் இயக்கம் சார்ந்த குறைபாடுகளை சரிசெய்ய அறுவை சிகிச்சை முறைகள் செய்யப்பட்டு வந்த காலம் கடந்து, தற்போது முகத்தை அழகாக்கும், தலைமுடியை நடவு செய்யும் அறுவை சிகிச்சைகளும் பரவலாகி விட்டன.
 
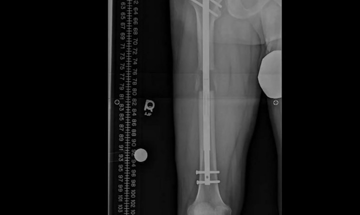
இந்த நிலையில், மேற்குலக நாடுகளில் மனிதர்களின் உயரத்தை அறுவை சிகிச்சையின் மூலம் கூட்டும் சிகிச்சைகள் அதிவேகமாக பிரபலமடைந்து வருகிறது. அதன் சாதக, பாதகங்களை இந்த காணொளி விளக்குகிறது.

வெப்துனியாவைப் படிக்கவும்

தொடர்புடைய செய்திகள்